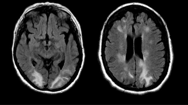
Signo Del Cerebelo Blanco
Angel Julio Romero Cabrera1 Juan de Dios Rivero Berovides2 Francisco Olascoaga Pérez 3 Reinaldo Pino Blanco4 Benigno Figueiras Ramos 5 Luis Gustavo Del Sol Padrón6 RESUMEN. Academiaedu is a platform for academics to share research papers.
Manifestaciones Neurologicas Del Herpes Virus Simple Y Varicela Zoster
An approach to the medical record.
Signo del cerebelo blanco. Alteración del sentido del equilibrio caracterizada por una sensación de inestabilidad y de movimiento aparente rotatorio del cuerpo o de los objetos presentes. Después de la clonación inicial de α1A 27-28 proteína abundante en el cerebelo y su expresión en oocitos de Xenopus por diferentes grupos 27 29 se propuso que α1A era la base de la corriente tipo Q y en menor grado la de tipo P debido a su relativa baja sensibilidad a ω-Aga-IVA inhibición del 50 con 200 nM y su rápida. Si en alguna etapa de todo este proceso existe una alteración la visión se ve afectada.
Depende del paso de la luz por los medios transparentes del globo ocular el estímulo que se produce a nivel de las retinas y la generación de impulsos nerviosos que llegan a la corteza cerebral para finalmente configurarse imágenes. Transpareten de material gelatinoso blanco que llena el ojo por detrás del cristalino. La ciencia es el contenido expresado en conocimientos y el arte la forma manifestada en hábitos y habilidades inherentes a la.

Caso Clinico Radiologico Ppt Descargar

Signo Del Cerebelo Blanco O Signo Reverso Sciencedirect
Glioma Pontino Intrinseco Difuso Gpid En Ninos Juntos

El Cerebro Autista Grandin Pdf Txt

Signo Del Cerebelo Blanco I Reversal Sign I Neurologia Com

Como Interpretar Una Tomografia Computada Tc De Cerebro Radiologia 2 0

43 782 Cerebro Blanco Y Negro Imagenes Y Fotos 123rf
Meduloblastoma En Ninos Y Adolescentes Juntos
Semiologia Radiologica En Patologia Cerebral De Emergencia

Enfermedad De La Sustancia Blanca Imagenologia

Plano Sagital Rm Craneal Visualizacion De Atrofia Cerebelosa Moderada Download Scientific Diagram

Encefalomielitis Aguda Diseminada Analisis Epidemiologico Clinico Analitico Y Evolutivo En 16 Pacientes Anales De Pediatria
Oligodendroglioma En Ninos Y Adolescentes Juntos
Infarto Isquemico Mesencefalico Sindrome De Weber

Generalidades Sobre Los Accidentes Cerebrovasculares Trastornos Neurologicos Manual Merck Version Para Profesionales

Tomografia Computada Y Resonancia Magnetica De Variantes Normales Congenitas De Apariencia Quistica Y Presentacion Frecuente En El Encefalo

La Mejor Senal De Cerebro Humano Sobre Un Fondo Blanco Ilustraciones Vectoriales Clip Art Vectorizado Libre De Derechos Image 47035411

Malformacion De Arnold Chiari Institut Chiari De Barcelona

Signo Del Tectum Picudo Revista Argentina De Radiologia

Januaryfebruary 2011 Introduccin V Causas Sistmicas O Focales

Generalidades Sobre Los Accidentes Cerebrovasculares Trastornos Neurologicos Manual Merck Version Para Profesionales

Meningioma Instituto Nacional Del Cancer

Edwin Rivera Vargas Edwinrivevar Twitter

Persiguiendo Al Dragon Leucoencefalopatia Asociada Al Consumo De Heroina Inhalada Neurologia Argentina

Traumatismo Craneoencefalico Un Proceso Dinamico Flashcards Quizlet

Tomografia Computada Y Resonancia Magnetica De Variantes Normales Congenitas De Apariencia Quistica Y Presentacion Frecuente En El Encefalo

Tc De Cerebro Lesion De Aspecto Isquemico Subagudo Hemisferica Download Scientific Diagram
El Signo Del Cerebelo Blanco O Signo Imagenologia Cuenca Facebook

Plano Sagital Rm Craneal Visualizacion De Atrofia Cerebelosa Moderada Download Scientific Diagram

Signo Del Cerebelo Blanco O Signo Reverso Neurologia Argentina

Tc Cerebral Semiologia Fundamentosclinicos Com

Guia Para Hacer Champus Solidos Pdf Champu Jabon Champu Guia Para Hice

Enfermedad De Parkinson Trastornos Neurologicos Manual Merck Version Para Profesionales
Spanish Hie Multimedia Accidente Cerebrovascular

Resonancia Magnetica Rm En Los Trastornos Neurologicos Trastornos Neurologicos Manual Msd Version Para Profesionales

Alucinaciones Auditivas En Neurologia Cognitiva Neurologia
El Abc Del Accidente Cerebro Vascular En La Tomografia Computarizada De Craneo The Abc Of Cerebrovascular Accident In The Cranial Computed Tomography Gonzalez Cabanas Revista Cubana De Medicina Intensiva Y Emergencias

Signo Del Cerebelo Blanco O Signo Reverso Neurologia Argentina
Meduloblastoma En Ninos Y Adolescentes Juntos
El Signo Del Cerebelo Blanco O Signo Imagenologia Cuenca Facebook
Semiologia Radiologica En Patologia Cerebral De Emergencia

Signos Radiologicos Flashcards Quizlet

Perlas Clinicas Aspectos Basicos Para La Lectura De Una Tomografia Computarizada De Craneo
Astrocitoma Glioma En Ninos Y Adolescentes Juntos

Vista De Malformacion Vascular Oculta Telangiectasia Capilar Reporte De Un Caso Metro Ciencia
Hemorragia Cerebelosa Remota Despues De Cirugia De Columna Lumbar Reporte De Caso Revista Argentina De Neurocirugia

Esto Podraa Pasarle A Tu Beba C Si Bebes Alcohol En El Embarazo Sindrome Alcoholico Fetal Imagenes De Enfermeria Bebidas Alcoholicas

Mediciones Frecuentes En El Sistema Nervioso Central Mediante Tomografia Computada E Imagenes De Resonancia Magnetica

Imagen Relacionada Suspensivos Los Puntos Suspensivos Puntos
Deficiencia Visual Y Neurologica Posterior A La Disfuncion Del Sistema De Derivacion Ventriculoperitoneal Reporte De Caso

Signo Del Cerebelo Blanco O Signo Reverso Neurologia Argentina

Leucoencefalopatia Posterior Reversible Descripcion De Dos Casos Asociados A Vincristina Anales De Pediatria
Semiologia Radiologica En Patologia Cerebral De Emergencia

Infarto Cerebeloso Pronostico Y Complicaciones De Sus Territorios Vasculares Neurologia

Pin De Jazmin Lorena En Esclerosis Multiple Esclerosis Multiple Multiple Signos
![]()
Vista De Lado Del Cerebro Simbolo De La Mente Psicologia Y Signos Medicos Ilustracion Del Vector Ilustracion De Cerebral Frontal 189533459

Signo De Contorno De Cerebro De Colores Con Marca De Interrogacion Rojo Aislado Sobre Fondo Blanco Ilustraciones Vectoriales Clip Art Vectorizado Libre De Derechos Image 82151945
Semiologia Radiologica En Patologia Cerebral De Emergencia
Hematomas Intraparenquimatosos Sin Causa Aparente En Pediatria Revista Argentina De Neurocirugia

Generalidades Sobre Los Tumores Intracraneanos Trastornos Neurologicos Manual Merck Version Para Profesionales

January February Ppt Video Online Descargar

Mediciones Frecuentes En El Sistema Nervioso Central Mediante Tomografia Computada E Imagenes De Resonancia Magnetica
El Abc Del Accidente Cerebro Vascular En La Tomografia Computarizada De Craneo The Abc Of Cerebrovascular Accident In The Cranial Computed Tomography Gonzalez Cabanas Revista Cubana De Medicina Intensiva Y Emergencias

Traumatismo Craneal No Accidental A Proposito De Un Caso Anales De Pediatria
![]()
Lesiones Bilaterales De Los Ganglios De La Base Y El Talamo
Meningiomas Petroclivales Tecnica Quirurgica Revista Argentina De Neurocirugia
Tumores De Fosa Posterior En La Infancia Revista Argentina De Neurocirugia

Tc De Cerebro Lesion De Aspecto Isquemico Subagudo Hemisferica Download Scientific Diagram

Sustancia Blanca Que Es Ubicacion Como Esta Formada Funcion Y Lesiones
Meduloblastoma En Ninos Y Adolescentes Juntos

03 Agosto 2016 Radiodiagnosticando

Diagnostico Diferencial De Lesiones Cerebrales Con Realce En Anillo En Tomografia Computarizada Y Resonancia Magnetica

9 089 Cerebelo Vectores Ilustraciones Y Graficos 123rf

Tomografia Computada Y Resonancia Magnetica De Variantes Normales Congenitas De Apariencia Quistica Y Presentacion Frecuente En El Encefalo
El Abc Del Accidente Cerebro Vascular En La Tomografia Computarizada De Craneo The Abc Of Cerebrovascular Accident In The Cranial Computed Tomography Gonzalez Cabanas Revista Cubana De Medicina Intensiva Y Emergencias
![]()
Vista De Lado Del Cerebro Simbolo De La Mente Psicologia Y Signos Medicos Ilustracion Del Vector Ilustracion De Cerebral Frontal 189533459

Sindrome De Encefalopatia Posterior Reversible Reporte De Un Caso Fatal Y Analisis De Factores Predictores De Mal Pronostico

Spinocerebellar Ataxia 36 Sca36 Costa Da Morte Ataxia Neurologia English Edition

Como Interpretar Una Tomografia Computada Tc De Cerebro Radiologia 2 0








